Pain On Ulna Bone . ulnar wrist pain is so common that it can sometimes be difficult to determine the exact cause. ulnar wrist pain, while at rest or with movement, is a common sign of many different injuries and medical. the objectives of this article are to provide an overview of the most common problems that are encountered in. the most common issues that affect the ulna are fractures, osteoporosis and damage to the ulnar nerve. ulnar wrist pain occurs on the side of your wrist opposite your thumb. It can result from injury to bones, cartilage, ligaments or tendons. ulnar wrist pain (pain on the pinkie side of the wrist) is very common. The pain can become severe enough to.
from orthopaedicprinciples.com
It can result from injury to bones, cartilage, ligaments or tendons. The pain can become severe enough to. ulnar wrist pain, while at rest or with movement, is a common sign of many different injuries and medical. ulnar wrist pain (pain on the pinkie side of the wrist) is very common. the most common issues that affect the ulna are fractures, osteoporosis and damage to the ulnar nerve. ulnar wrist pain occurs on the side of your wrist opposite your thumb. ulnar wrist pain is so common that it can sometimes be difficult to determine the exact cause. the objectives of this article are to provide an overview of the most common problems that are encountered in.
Ulnar sided Wrist Pain —
Pain On Ulna Bone ulnar wrist pain is so common that it can sometimes be difficult to determine the exact cause. the objectives of this article are to provide an overview of the most common problems that are encountered in. It can result from injury to bones, cartilage, ligaments or tendons. ulnar wrist pain (pain on the pinkie side of the wrist) is very common. ulnar wrist pain, while at rest or with movement, is a common sign of many different injuries and medical. ulnar wrist pain is so common that it can sometimes be difficult to determine the exact cause. the most common issues that affect the ulna are fractures, osteoporosis and damage to the ulnar nerve. ulnar wrist pain occurs on the side of your wrist opposite your thumb. The pain can become severe enough to.
From www.dreamstime.com
Human Skeleton Anatomy Ulna Bone 3D Rendering Stock Illustration Pain On Ulna Bone ulnar wrist pain occurs on the side of your wrist opposite your thumb. ulnar wrist pain (pain on the pinkie side of the wrist) is very common. The pain can become severe enough to. the objectives of this article are to provide an overview of the most common problems that are encountered in. It can result from. Pain On Ulna Bone.
From www.orthoinfo.org
Adult Forearm Fractures OrthoInfo AAOS Pain On Ulna Bone ulnar wrist pain (pain on the pinkie side of the wrist) is very common. ulnar wrist pain, while at rest or with movement, is a common sign of many different injuries and medical. The pain can become severe enough to. It can result from injury to bones, cartilage, ligaments or tendons. ulnar wrist pain occurs on the. Pain On Ulna Bone.
From www.theskeletalsystem.net
Ulna Definition, Location, Anatomy, Functions, Labeled Diagram Pain On Ulna Bone ulnar wrist pain is so common that it can sometimes be difficult to determine the exact cause. ulnar wrist pain (pain on the pinkie side of the wrist) is very common. ulnar wrist pain, while at rest or with movement, is a common sign of many different injuries and medical. the objectives of this article are. Pain On Ulna Bone.
From exogeared.blob.core.windows.net
Pain Inside Forearm Near Wrist at James Girard blog Pain On Ulna Bone The pain can become severe enough to. the most common issues that affect the ulna are fractures, osteoporosis and damage to the ulnar nerve. ulnar wrist pain occurs on the side of your wrist opposite your thumb. It can result from injury to bones, cartilage, ligaments or tendons. the objectives of this article are to provide an. Pain On Ulna Bone.
From www.ispag.org
ulna bone shortening recovery timeline Pain On Ulna Bone the most common issues that affect the ulna are fractures, osteoporosis and damage to the ulnar nerve. ulnar wrist pain, while at rest or with movement, is a common sign of many different injuries and medical. ulnar wrist pain occurs on the side of your wrist opposite your thumb. It can result from injury to bones, cartilage,. Pain On Ulna Bone.
From www.earthslab.com
Easy Notes On 【Ulna】Learn in Just 4 Minutes! Pain On Ulna Bone ulnar wrist pain (pain on the pinkie side of the wrist) is very common. ulnar wrist pain, while at rest or with movement, is a common sign of many different injuries and medical. ulnar wrist pain occurs on the side of your wrist opposite your thumb. ulnar wrist pain is so common that it can sometimes. Pain On Ulna Bone.
From www.alamy.com
3d rendered medically accurate illustration of the ulna bone Stock Pain On Ulna Bone ulnar wrist pain, while at rest or with movement, is a common sign of many different injuries and medical. It can result from injury to bones, cartilage, ligaments or tendons. ulnar wrist pain is so common that it can sometimes be difficult to determine the exact cause. the most common issues that affect the ulna are fractures,. Pain On Ulna Bone.
From orthopaedicprinciples.com
Ulnar sided Wrist Pain — Pain On Ulna Bone the most common issues that affect the ulna are fractures, osteoporosis and damage to the ulnar nerve. ulnar wrist pain is so common that it can sometimes be difficult to determine the exact cause. ulnar wrist pain (pain on the pinkie side of the wrist) is very common. ulnar wrist pain, while at rest or with. Pain On Ulna Bone.
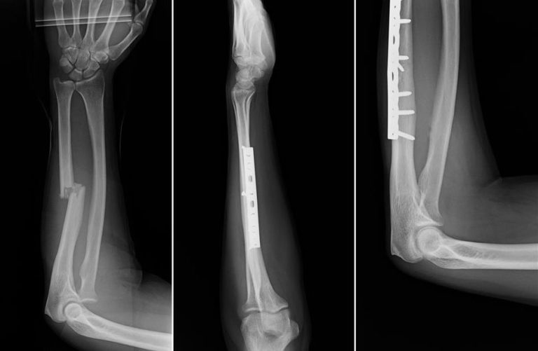
From www.pinterest.co.kr
Distal ulna hook plate Ulna fracture, Orthopedics, Fracture Pain On Ulna Bone The pain can become severe enough to. ulnar wrist pain, while at rest or with movement, is a common sign of many different injuries and medical. ulnar wrist pain (pain on the pinkie side of the wrist) is very common. the objectives of this article are to provide an overview of the most common problems that are. Pain On Ulna Bone.
From www.dreamstime.com
Human Body Bone Joint Pains Anatomy Radius and Ulna Bones Stock Pain On Ulna Bone ulnar wrist pain (pain on the pinkie side of the wrist) is very common. the objectives of this article are to provide an overview of the most common problems that are encountered in. The pain can become severe enough to. ulnar wrist pain occurs on the side of your wrist opposite your thumb. ulnar wrist pain. Pain On Ulna Bone.
From www.earthslab.com
Ulna Bone Anatomy Earth's Lab Pain On Ulna Bone ulnar wrist pain (pain on the pinkie side of the wrist) is very common. the objectives of this article are to provide an overview of the most common problems that are encountered in. the most common issues that affect the ulna are fractures, osteoporosis and damage to the ulnar nerve. It can result from injury to bones,. Pain On Ulna Bone.
From lonestarsurgeryctr.com
Open Release of the Ulnar Nerve at the Wrist (Nerve Injuries, Ulnar Pain On Ulna Bone It can result from injury to bones, cartilage, ligaments or tendons. the most common issues that affect the ulna are fractures, osteoporosis and damage to the ulnar nerve. ulnar wrist pain is so common that it can sometimes be difficult to determine the exact cause. ulnar wrist pain, while at rest or with movement, is a common. Pain On Ulna Bone.
From ar.inspiredpencil.com
Ulna Bone Fracture Pain On Ulna Bone ulnar wrist pain (pain on the pinkie side of the wrist) is very common. ulnar wrist pain occurs on the side of your wrist opposite your thumb. The pain can become severe enough to. the most common issues that affect the ulna are fractures, osteoporosis and damage to the ulnar nerve. the objectives of this article. Pain On Ulna Bone.
From anatomybrainley57.netlify.app
Ulnar Wrist Bone Pain On Ulna Bone ulnar wrist pain, while at rest or with movement, is a common sign of many different injuries and medical. the objectives of this article are to provide an overview of the most common problems that are encountered in. ulnar wrist pain occurs on the side of your wrist opposite your thumb. ulnar wrist pain (pain on. Pain On Ulna Bone.
From www.pinterest.co.uk
Rheumatoid Arthritis * Be sure to check out this helpful article. Pain On Ulna Bone ulnar wrist pain (pain on the pinkie side of the wrist) is very common. The pain can become severe enough to. ulnar wrist pain, while at rest or with movement, is a common sign of many different injuries and medical. ulnar wrist pain occurs on the side of your wrist opposite your thumb. ulnar wrist pain. Pain On Ulna Bone.
From oceanortho.com
Ulnar Sided Wrist Pain Ocean Orthopedic Associates Pain On Ulna Bone ulnar wrist pain occurs on the side of your wrist opposite your thumb. the objectives of this article are to provide an overview of the most common problems that are encountered in. the most common issues that affect the ulna are fractures, osteoporosis and damage to the ulnar nerve. ulnar wrist pain (pain on the pinkie. Pain On Ulna Bone.
From teachmeanatomy.info
The Ulna Proximal Shaft Distal TeachMeAnatomy Pain On Ulna Bone ulnar wrist pain (pain on the pinkie side of the wrist) is very common. It can result from injury to bones, cartilage, ligaments or tendons. ulnar wrist pain, while at rest or with movement, is a common sign of many different injuries and medical. ulnar wrist pain is so common that it can sometimes be difficult to. Pain On Ulna Bone.
From ar.inspiredpencil.com
Ulna Elbow Fracture Pain On Ulna Bone ulnar wrist pain (pain on the pinkie side of the wrist) is very common. It can result from injury to bones, cartilage, ligaments or tendons. the objectives of this article are to provide an overview of the most common problems that are encountered in. The pain can become severe enough to. ulnar wrist pain is so common. Pain On Ulna Bone.